Skip to content
View in the app

A better way to browse. Learn more.

கருத்துக்களம்

A full-screen app on your home screen with push notifications, badges and more.

To install this app on iOS and iPadOS
  1. Tap the Share icon in Safari
  2. Scroll the menu and tap Add to Home Screen.
  3. Tap Add in the top-right corner.
To install this app on Android
  1. Tap the 3-dot menu (⋮) in the top-right corner of the browser.
  2. Tap Add to Home screen or Install app.
  3. Confirm by tapping Install.

அமெரிக்கா வெடித்த அணுகுண்டின் அடையாளம் உங்கள் உடலுக்குள் நுழைந்தது எப்படி?

Featured Replies

  • கருத்துக்கள உறவுகள்
அணுகுண்டு சோதனை  கார்பன் டேட்டிங்

பட மூலாதாரம்,GETTY IMAGES

 
படக்குறிப்பு,

கடந்த 1950 களில் பூமியின் மேற்பரப்பில் பல்வேறு இடங்களில் அணுகுண்டு சோதனைகள் நடத்தப்பட்டன

கட்டுரை தகவல்
  • எழுதியவர், ரிச்சர்ட் ஃபிஷர்
  • பதவி, பிபிசி ஃபியூச்சர்
  • 4 மணி நேரங்களுக்கு முன்னர்

அது உங்கள் பற்களில் இருக்கிறது. உங்கள் கண்களுக்குள் ஊடுருவியிருக்கிறது. ஏன் உங்கள் மூளைக்குள்ளும் புதைந்திருக்கிறது. விஞ்ஞானிகள் இதை "வெடிகுண்டு முனை" என்கிறார்கள். கடந்த அரைநூற்றாண்டுக்கும் மேலாக அது உங்கள் உடலுக்குள் தனது அடையாளத்தை வைத்திருக்கிறது.

கடந்த 1950 களில் பூமியின் மேற்பரப்பில் பல்வேறு இடங்களில் அணுகுண்டு சோதனைகள் நடத்தப்பட்டன. இந்த தொடர் சோதனைகள், அதுவரை இல்லாத விதத்தில், வளிமண்டலத்தின் இரசாயன மாற்றத்தை ஏற்படுத்தும்படி அமைந்தன. குறிப்பாக கடல்கள், பாறைகள் உள்ளிட்டவற்றுடன் சேர்த்து, பூமியில் உள்ள உயிரினங்களின் கார்பன் சேர்ம அளவை மாற்றியது.

ஆனால், அணுகுண்டு வெடிக்கும் போது வெளிப்படும் நேரடி கதிர்வீச்சுகளை போல் இல்லாமல், அணுகுண்டு சோதனையின் விளைவாக வளிமண்டலத்தில் அதிகரித்த 'வெடிகுண்டு முனை' தீங்கு விளைவிப்பதில்லை. மாறாக அது, சமீபத்திய ஆண்டுகளில் விஞ்ஞானிகளுக்கு பல்வேறு வகையில் பயனுள்ளதாக இருப்பதாக நிரூபிக்கப்பட்டுள்ளது.

ஒரு நபர் எப்போது பிறந்தார் அல்லது இறந்தார் என்பதை கணிக்க தடயவியல் நிபுணர்களுக்கும், மனித மூளையில் உள்ள நியூரான்களின் வயதை கண்டுபிடிக்க மருத்துவர்களுக்கும் இது மிகவும் பயனுள்ளதாக இருக்கிறது. அத்துடன், வேட்டையாடப்பட்ட விலங்குகளின் வயதை கணிக்கவும், சிவப்பு ஒயின் மதுபானம் எந்த ஆண்டில் தயாரிக்கப்பட்டது என்பதை கண்டறியவும் இந்த வேதிப்பொருள் பயன்படுகிறது.

இவற்றுடன், 20 ஆம் நூற்றாண்டின் மைய காலகட்டத்தில் இருந்து மேற்கொள்ளப்பட்ட அணுகுண்டு சோதனை போன்ற விஞ்ஞான செயல்பாடுகளின் விளைவாக அதிகரிக்க கார்பனுடன், தற்போது கனடா நாட்டின் ஒரு ஏரியில் உள்ள இந்த வேதிப்பொருளின் இருப்பு, பூமியில் மானுடத்தின் அதிகாரப்பூர்வ தொடக்கத்தை குறிப்பதாக விஞ்ஞானிகளால் அண்மையில் பரிந்துரைக்கப்பட்டுள்ளது.

உண்மையில் வெடிகுண்டு முனை என்றால் என்ன? மனிதனை குறித்தும், பூமியைப் பற்றியும் அது சொல்லும் செய்தி என்ன?

அணுகுண்டு சோதனை  கார்பன் டேட்டிங்

பட மூலாதாரம்,GETTY IMAGES

 
படக்குறிப்பு,

1960 இல் பிரான்சில் நடந்தப்பட்ட மூன்றாவது அணுகுண்டு சோதனைக்கு முன் அல்ஜீரியாவில் மேற்கொள்ளப்பட்ட ஒத்திகை

அணு ஆயுத சோதனை தடை ஒப்பந்தம்

கடந்த 1963-இல் மேற்கொள்ளப்பட்ட அணு ஆயுத சோதனை தடை ஒப்பந்தம், அதில் கையெழுத்திட்ட நாடுகளை நிலத்தடியில் மட்டும் அணுகுண்டுகள் சோதனை செய்ய கட்டாயப்படுத்துகிறது. இந்த ஒப்பந்தம் மேற்கொள்ளப்படுவதற்கு முன், பல்வேறு நாடுகள் 500க்கும் மேற்பட்ட அணு ஆயுத சோதனைகளை திறந்தவெளியில் மேற்கொண்டன. முக்கியமாக அமெரிக்காவும், ரஷ்யாவும் அதிக அளவில் அணு ஆயுத சோதனைகளை மேற்கொண்டன. இவற்றின் தாக்கம் பூமியின் வளிமண்டலத்தில் பிரதிபலித்தது.

அணுகுண்டு சோதனையின் போது வெளிப்படும் கதிரியக்கங்கள், சோதனை நடத்தப்படும் இடங்களில் இருந்து வெகுதொலைவுக்கு பரவி மனிதர்களுக்கும், வனவிலங்குகளுக்கும் தீங்கு விளைவிப்பதுடன், சோதனைகள் மேற்பட்ட பகுதிகளையும் முற்றிலும் உயிரினங்கள் வாழத் தகுதியற்றவையாக ஆக்குகின்றன என்று ஆய்வுகள் மூலம் நன்கு நிறுவப்பட்டது.

ஆனால் வெடிகுண்டுகளில் உள்ள வேதி மூலக்கூறுகள் இயற்கையில் வளிமண்டலத்தில் உள்ள நைட்ரஜனுடன் வினைபுரிந்து, கார்பன் -14 போன்ற புதிய ஐசோடோப்புகள் உருவாக்குகின்றன என்பது ஆய்வகங்களுக்கு வெளியே அறியப்படாத அம்சமாக இருந்தது.

இரு மடங்கு அதிகரித்த கார்பன்

1960களில், திறந்தவெளியில் மேற்கொள்ளப்பட்ட அணு ஆயுத சோதனைகள், வளிமண்டலத்தில் இருந்த கார்பன் -14 இன் முந்தைய அளவைவிட கிட்டத்தட்ட இரண்டு மடங்கு அதிகரிக்க செய்தன. முதலில் இந்த ஐசோடோப் (கார்பன் -14), நீர், மண் மற்றும் தாவரங்களுக்குள் நுழைந்தது. ஆழ்கடலில் உள்ள உயிரினங்களை கூட அடைந்துள்ளது.

அதன் பின்னர் உணவுச் சங்கிலியின் வழியாக மனிதர்களின் உடலுக்கு சென்றது. மனிதனின் பற்கள், கண்கள், மூளை என இதன் தாக்கம் சுமார் அரை நூற்றாண்டுக்கு மேலாக மனித உடம்பிற்குள் உள்ளது.

இதன் சராம்சமாக, “1950களின் பிற்பகுதியில் இருந்து, கார்பன் வேதிப்பொருளை வெளியிடும் திறன் கொண்ட மரப்பொருட்கள், மண் உள்ளிட்டவை வளிமண்டலத்தில் கார்பன் டை ஆக்சைடின் அளவில் தாக்கத்தை ஏற்படுத்தின. இந்த காரணிகள் ஒவ்வொன்றும், ‘வெடிகுண்டு கார்பன் -14’ என்று அழைக்கப்படுகின்றன' என்று, இந்த வேதிப்பொருளின் அறிவியல் பயன்பாடுகள் குறித்து, ‘ரேடியோகார்பன்’ எனும் இதழில், 2022 இல் எழுதிய பகுப்பாய்வு கட்டுரையில் குறிப்பிட்டுள்ளார் வியன்னா பல்கலைக்கழகத்தின் வால்டர் குட் சேரா.

கார்பன் டேட்டிங்

கடந்த 20 ஆம் நூற்றாண்டின் மைய காலகட்டத்தில்தான் கார்பன் -14 குறித்து விஞ்ஞானிகளுக்கு தெரிய வந்தது. ஆனால், இது அறிவியல் ரீதியாக பயனுள்ளதாக இருக்கும் என்பதை விஞ்ஞானிகள் உணர பல தசாப்தங்கள் ஆனது. 1950களில் இருந்து இன்று வரை, கற்கால எச்சங்கள் அல்லது பண்டைய நூல்களின் சரியான வயதை அறிய, கார்பன் -14 பயன்படுத்தப்பட்டு வருகிறது. இந்த செயல்முறை கார்பன் -14ன் கதிரியக்கச் சிதைவை அடிப்படையாகக் கொண்டது. இது ‘ரேடியோகார்பன் டேட்டிங்’ என்றழைக்கப்படுகிறது.

ஆனால், கார்பன் 14 எனும் ஐசோடோப் நிலையற்றது. இது உருவான பின் சில ஆயிரம் ஆண்டுகளுக்கு பிறகு நைட்ரஜனாக மெதுவாக சிதைகிறது. இதன்படி, ஒரு நியாண்டர்தால் (அழிந்துபோன மூதாதை இனம்) இறந்தபோது, அவர்களின் எலும்புகள் மற்றும் பற்களில் இருந்து கார்பன் -14 இன் அளவு படிப்படியாக குறைய தொடங்கியிருக்கும். நியாண்டர்தால் இறந்த தேதியின் அடிப்படையில், கார்பன் -14 இன் சரிவை அளவிடலாம் என்கின்றனர் ஆய்வாளர்கள்.

கார்பன் -14 ஐசோடோப்பின் மெதுவான சிதைவு விகிதத்தின் காரணமாக, 300 ஆண்டுகளுக்கும் மேலான மாதிரிகளின் வயதை கணிக்கும் விதத்தில், ரேடியோ கார்பன் டேட்டிங் மட்டுப்படுத்தப்பட்டது. ஆனால், தொழில் புரட்சிக்கு பின்னர், வளிமண்டலத்தில் அதிகரித்துள்ள கார்பன் டை ஆக்சைடின் அளவு, கார்பன் டேட்டிங் முறையை மேலும் சிக்கலாக்கியது.

இருப்பினும், வளிமண்டலத்தில் அதிகரிக்கும் கார்பனின் அளவு (Carbon Spike or Pulse), கார்பன் -14ஐ வேறு வழிகளில் பயன்படுத்த உதவும் என்று ஆராய்ச்சியாளர்கள், இந்த நூற்றாண்டின் தொடக்கத்தில் உணர்ந்தனர். முக்கியமாக இது கடந்த 70-80 ஆண்டுகளில், ஒரு பொருளின் வயதை கணிக்க (டேட்டிங்) அனுமதிக்கப்படுகிறது.

 
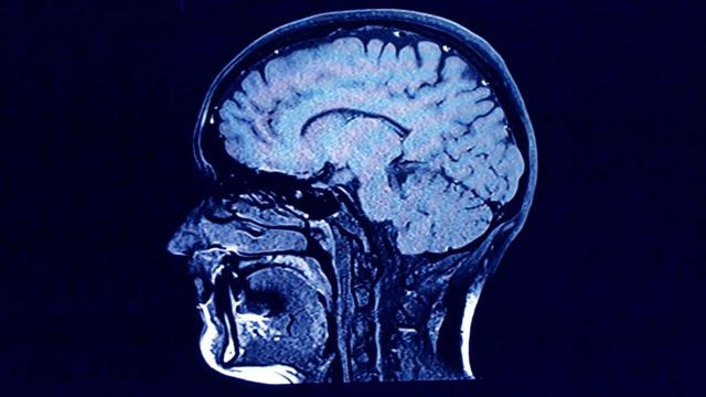
அணுகுண்டு சோதனை  கார்பன் டேட்டிங்

பட மூலாதாரம்,GETTY IMAGES

 
படக்குறிப்பு,

வயது முதிர்ந்த காலத்திலும் மனித மூளையில் புதிய நியூரான் செல்கள் உருவாகுமா என்ற கேள்விக்கான விடையை அறிய கார்பன் டேட்டிங் நுட்பம் பயன்படுகிறது.

குறையும் கார்பன் அளவு

கடந்த 1950 களில் இருந்து, இயற்கை மற்றும் மனிதர்களில், கார்பன் -14 ஐசோடோப்பின் தாக்கம் படிப்படியாக குறைந்து வருவதாக மதிப்பிடப்பட்டுள்ளது. எனவே, விஞ்ஞானிகள் தங்கள் சோதனைகளிலிருந்து, வளிமண்டலத்தில் கார்பனை பரிமாறிக் கொண்ட எந்தவொரு கரிமப் பொருளிலும் கார்பன் -14இன் விகிதத்தை பகுப்பாய்வு செய்து அது உருவான மூலத்தைக் குறிப்பிடலாம்.

இந்த பகுப்பாய்வில் 1950கள் மற்றும் அதற்கு பின் பிறந்த அனைவரும் அடங்குவர். 1950 களில் பிறந்த ஒருவரின் உடல் திசுக்களில், 1980 களில் பிறந்த ஒருவரின் திசுக்களை விட கார்பன் -14 அதிகமாக இருக்கும்.

தடயவியல் பகுப்பாய்வு

அடையாளம் தெரியாத மனித எச்சங்களின் வயதைக் கண்டறியும் விதத்தில், குற்றப் புலனாய்வாளர்களுக்கு உதவுவதே, கார்பன் -14இன் ஆரம்பகால பயன்களில் ஒன்றாக இருந்தது.

ஒரு நபரின் வயது எவ்வளவு அல்லது அவர் எப்போது இறந்தார் என்பதை மதிப்பிடுவதற்கு, கார்பன் -14 ஐசோடோப்பை அவரது பற்கள், எலும்புகள், முடி அல்லது கருவிழிகளில் கூட அளவிட முடியும் என்று தடயவியல் நிபுணர்கள் கண்டறிந்துள்ளனர் என்கிறார் மெல்போனில் உள்ள மோனாஷ் பல்கலைக்கழகத்தைச் சேர்ந்த ஈடன் சென்டைன் ஜான்ஸ்டோன் பெல்ஃபோர்ட்.

பெல்ஃபோர்ட் மற்றும் ப்ளூ, கடந்த 2019 ஆம் ஆண்டு மேற்கொண்ட மதிப்பாய்வில், ‘கார்பன் டேட்டிங்’ குறித்த பல உதாரணங்களை மேற்கோள்காட்டி இருந்தனர்.

அவற்றில் குறிப்பாக, 2010 இல், வடக்கு இத்தாலிய பகுதியில் அமைந்துள்ள ஒரு ஏரியில் கண்டெடுக்கப்பட்ட உடலை, கொலையாளி முந்தைய ஆண்டு (2009) அங்கு வீசி இருந்ததை உறுதிப்படுத்த, காவல்துறை புலனாய்வு அதிகாரிகள், கார்பன் டேட்டிங் முறையைப் பயன்படுத்தினர் என்று அவர்கள் தங்களின் மதிப்பாய்வில் குறிப்பிட்டுள்ளனர்.

போர்க்குற்றங்கள், இனப்படுகொலை மற்றும் சட்டத்திற்கு புறம்பான கொலைகள் தொடர்பான வழக்குகளில், இதுபோன்ற மனித உரிமைகள் மீறல்களின் விளைவாக இறந்தவர்கள், எந்த காலத்தில் கொல்லப்பட்டனர் என்பதை அறிவதிலும் கார்பன் டேட்டிங் முக்கியப் பங்கு வகிக்கிறது என்று பெல்ஃபோர்ட் மற்றும் ப்ளூ சுட்டிக்காட்டுகின்றனர்.

எடுத்துக்காட்டாக 2004 இல், யுக்ரேனில் உள்ள ஒரு புதைகுழியில் கண்டெடுக்கப்பட்ட முடி மாதிரிகளில் மேற்கொள்ளப்பட்ட கார்பன் டேட்டிங் மதிப்பீடு, அது 1941 மற்றும் 1952 க்கும் இடையில் நடைபெற்ற ஓர் நாஜி போர்க் குற்றத்தைச் சேர்ந்ததா என்பதை அடையாளம் காண புலனாய்வாளர்களை அனுமதித்தது.

மனித உரிமை மீறல்கள் தொடர்பான புலனாய்வுகளுக்கு பயன்படுவது மட்டுமின்றி, மனித உடல் மற்றும் மூளை செல்கள் பற்றிய புதிய நுண்ணறிவை பெறவும் கார்பன் டேட்டிங் வழிவகுத்துள்ளது.

மருத்துவ ஆய்வுகள்

கடந்த 2005இல், ஸ்வீடனில் உள்ள கரோலின்ஸ்கா உயர்கல்வி நிறுவனத்தின் உயிரியலாளரான கிர்ஸ்டி ஸ்பால்டிங் மற்றும் அவரது சக ஊழியர்கள், கார்பன் 14 ஐ கொண்டு, மனிதனின் மரபணுவில் பகுப்பாய்வு செய்வதன் மூலம், மனித உயிரணுக்களின் ஒப்பீட்டு வயதைக் கண்டறிய முடியும் என்பதை அறிந்தனர்.

அதாவது மனித உடலில் உள்ள சில செல்கள், ஒருவரின் பிறப்பிலிருந்தே இருக்கிறதா அல்லது அவை தொடர்ந்து மாற்றப்படுகின்றனவா என்பதை கண்டறிய, தான் அடுத்தடுத்து மேற்கொண்ட ஆய்வுகளில், கார்பன் டேட்டிங் நுட்பத்தை கிர்ஸ்டி ஸ்பால்டிங் பயன்படுத்தினார்.

உடல் பருமன் பிரச்னை

உதாரணமாக, மனித செல்கள் இறக்கும்போது, அவற்றை ஈடுசெய்யும் விதத்தில், அடிபோசைட்டுகள் எனப்படும் கொழுப்பு செல்களை உடல் உற்பத்தி செய்கிறது என்பதை 2008 இல், ஸ்பால்டிங் மற்றும் அவரது சகாக்கள் மேற்கொண்ட ஆய்வுகளில் தெரிய வந்தது.

அத்துடன் இந்த கொழுப்பு செல்களின் எண்ணிக்கை, ஒருவரின் முதிர் வயது வரை மாறாமல் இருப்பதும் தெரிய வந்தது. இது, உடல் பருமன் பிரச்னையை சமாளிப்பது தொடர்பான புதிய சிகிச்சை முறைகளுக்கு வழிவகுத்தது.

அதாவது, கொழுப்பு செல்களின் பிறப்பு அல்லது இறப்பு விகிதத்தை கார்பன் டேட்டிங் முறையில் கணிப்பதன் மூலம், உடற்பயிற்சி மற்றும் உணவு முறை மாற்றத்தின் வாயிலாக ஒருவர், உடல் பருமனில் முக்கியப் பங்கு வகிக்கும் கொழுப்பு செல்களின் எண்ணிக்கையை குறைக்கலாம் என்ற வழிமுறையை மருத்துவ விஞ்ஞானம் கண்டறிந்துள்ளது.

 
அணுகுண்டு சோதனை  கார்பன் டேட்டிங்

பட மூலாதாரம்,GETTY IMAGES

 
படக்குறிப்பு,

ஆந்த்ரோபோசீன் காலத்தைக் குறிக்கும் விதத்தில், கனடிய ஏரியின் மையப் பகுதியின் மாதிரியைக் காட்டும் விஞ்ஞானி

நியூரான்கள் பற்றிய ஆய்வு

ஸ்பால்டிங் மற்றும் அவரது சகாக்கள், மனித மூளை செல்களான நியூரான்கள் தொடர்பாக, கார்பன் டேட்டிங் நுட்பத்தை பயன்படுத்தி, 2013 இல் ஆய்வுகளை மேற்கொண்டனர். மனித மூளை செல்களுக்குள் உள்ள நியூரான்களின் எண்ணிக்கை, ஒருவரின் குழந்தைப் பருவத்திலேயே நிர்ணயிக்கப்பட்டுவிடுவதாக, பல ஆண்டுகளாக ஆராய்ச்சியாளர்கள் கருதி வந்தனர்.

மூளையின் கார்டெக்ஸ் பகுதியில், ஸ்பால்டிங் குழுவினர் மேற்கொண்ட முந்தைய ஆய்வுகளின் முடிவுகள் நியூரான்கள் குறித்த ஆராய்ச்சியாளர்களின் புரிதலை பிரதிபலிப்பதாகவே இருந்தன.

ஆனால், மூளையின் ஹிப்போகாம்பஸ் பகுதியில், கார்பன் டேட்டிங் முறையை கொண்டு மேற்கொண்ட ஆய்வில், ஒருவர் முதுமைப்பருவம் எட்டிய பிறகும், அவரது வாழ்நாள் முழுவதும் புதிதாக நியூரான்கள் உற்பத்தி செய்யப்படலாம் என்பதை ஸ்பால்டிங் குழு கண்டறிந்தது.

நரம்பியல் மருத்துவத்தில் முக்கிய முன்னேற்றமாக கருதப்படும் இந்த ஆய்வு முடிவு, நோய்களின் மூலம் ஏற்படும் நியூரான் இழப்பை தடுக்கவும், புதிய நியூரான்களின் எண்ணிக்கையை அதிகரிப்பதற்கான மருத்துவ உத்திகளுக்கு வழிவகுத்தது.

ஆந்த்ரோபோசீன் காலகட்டம்

நவீன மருத்துவம், புலனாய்வு போன்ற துறைகளை தாண்டி, ஆந்த்ரோ போசீன் எனப்படும் புவியின் புதிய சகாப்தத்தை உறுதிசெய்வதிலும் கார்பன் டேட்டிங் தொழில்நுட்பம் முக்கியப் பங்கு வகிக்கிறது.

காலநிலை மற்றும் சுற்றுச்சூழலில் மனிதனின் செயல்பாடுகள் ஆதிக்கம் செலுத்தும் காலகட்டம் ஆந்த்ரோ போசீன் என்று கருதப்படுகிறது.

ஆந்த்ரோ போசீன் பற்றிய யோசனை தோன்றிய சிறிது காலத்துக்குப் பிறகு, புவியியலாளர்கள், ‘கோல்டன் ஸ்பைக்’ என்றழைக்கப்படும் ஒரு பாறை, பனிக்கட்டி அல்லது வண்டல் மண் அடுக்கைக் கொண்டு பூமியில் இந்த காலகட்டத்தை எவ்வாறு வரையறுப்பது என்று விவாதிக்கத் தொடங்கினர்.

ஏனெனில், ஹொலோசீன் காலகட்டத்தின் ஆரம்பம், கிரீன்லாந்தின் மையப்பகுதியில் இருந்து எடுக்கப்பட்ட ஓர் குறிப்பிட்ட பனிக்கட்டியால் குறிக்கப்படுகிறது. இதேபோன்று ஜுராசிக் காலகட்டம் ஆஸ்திரியாவின் ஆல்ப்ஸ் மலை பகுதியில் தொடங்குகிறது. மேலும், சுமார் 600 மில்லியன் ஆண்டுகளுக்கு முந்தைய, பூமிப் பந்தின் மிகவும் பழமையான காலகட்டங்களில் ஒன்றான எடியாகாரன் காலகட்டத்தை குறிக்கும் சில அடையாளங்களை ஆஸ்திரேலியாவின் ஃபிளாண்டர்ஸ் மலைகளில் காணலாம்.

இவ்வாறு பூமி பல கால கட்டங்களை கடந்து வந்திருக்கும் நிலையில், மனிதனின் பல்வேறு செயல்பாடுகளின் விளைவுகள், ஆந்த்ரோ போசீன் காலகட்டத்தை குறிப்பதற்கான சாத்தியக்கூறுகளாவே பல ஆண்டுகளாக ஆராயப்பட்டுள்ளன.

 
அணுகுண்டு சோதனை  கார்பன் டேட்டிங்

பட மூலாதாரம்,GETTY IMAGES

 
படக்குறிப்பு,

கனடாவில் உள்ள க்ராஃபோர்ட் ஏரி, மானுடத்தின் தொடக்கத்தை அதிகாரப்பூர்வமாக குறிக்கும் இடமாக ஆய்வாளர்களால் பரிந்துரைக்கப்பட்டுள்ளது.

மனிதனின் செயல்கள், பூமியில் ஏற்பட்டுள்ள தாக்கங்கள்

இது ஆயிரக்கணக்கான ஆண்டுகளுக்கு முன் ஆரம்பகால விவசாயத்தால் ஏற்பட்ட மீத்தேன் அதிகரிப்பாக இருக்கலாம். இதேபோன்று தொழில் புரட்சி நிகழ்ந்தபோது, இயற்கை எரிவாயு, கச்சா எண்ணெய் போன்ற புதுப்பிக்க முடியாத படிம எரிபொருகளில் இருந்து பெட்ரோல் போன்ற துணை எரிபொருட்கள் உற்பத்தி செய்யப்பட்ட காலகட்டமாகவும் இருக்கலாம்.

இருப்பினும், அணு ஆயுத சோதனைகள் போன்ற மனித செயல்பாடுகளின் விளைவாக, 1950 களில் தான் வளிமண்டலத்தில் கார்பன் அளவு அதிகரித்தது போன்ற பூமி பந்தில் தீவிர தாக்கங்கள் ஏற்பட்டன என்ற வாதத்தை மானுடவியல் பணிக்குழு 2016 இல் நிராகரித்தது. மனிதனின் பல்வேறு நடவடிக்கைகள், 1950 களுக்கு முன்பே பூமியில் தாக்கத்தை ஏற்படுத்தி இருந்தன என்பது இக்குழுவின் வாதமாக இருந்தது.

அதேநேரம், வளிமண்டலத்தில் கார்பன் டை ஆக்சைடின் அளவை அதிகரிக்கும் கிரீன்ஹவுஸ் வாயு வெளியேற்றம், நீர் மற்றும் நில பயன்பாடு, கடல் அமிலமயமாக்கல், மீன் வளச் சுரண்டல், வெப்பமண்டல காடு இழப்பு என மனித இனத்தின் பல்வேறு செயல்பாடுகளால், 20 ஆம் நூற்றாண்டின் மைய காலகட்டத்தில் தான் பூமி பந்தில் அதிக தாக்கங்கள் ஏற்பட்டதாகவும் நிபுணர்கள் கருதுகின்றனர்.

கார்பன் 14 ஐ பொருத்தவரை, இதன் தாக்கம் நீண்ட காலத்திற்கு நீடிக்கும் என்கின்றனர் புவியியலாளர்கள். “ரேடியோ கார்பனின் தாக்கம் சுமார் 60 ஆயிரம் ஆண்டுகளுக்கு கண்டறிய கூடியதாக இருக்கும்” என்கிறார் மானுடவியல் பணிக்குழுவுக்கு தலைமைத் தாங்கும், லீசெஸ்டர் பல்கலைக்கழகத்தின் புவியியலாளர் கொலின் வாட்டர்ஸ்.

இத்தாலியில் ஒரு குகை, போலந்து மற்றும் ஆஸ்திரேலியாவின் வடகிழக்கு கடற்கரையில் ஒரு பவளப்பாறை உள்ளிட்டவற்றில் கார்பன் 14 போன்ற வேதிப்பொருட்கள் பொதிந்திருப்பதை மானுடவியல் பணிக் குழு நடத்திய கள ஆய்வில் தெரிய வந்துள்ளது.

இதேபோன்று மிக சமீபத்திய நிகழ்வாக, கடந்த மாதம், கனடாவின் ஒன்டாரியோவில் உள்ள க்ராஃபோர்ட் ஏரி, கார்பன் -14, புளூட்டோனியம் உள்ளிட்ட வேதிப்பொருட்கள் பொதிந்துள்ள இடமாக கண்டறியப்பட்டுள்ளது.

இவ்வாறு மனிதர்கள் இயற்கையின் மீது ஏற்படுத்திவரும் தாக்கங்களுக்கு பல்வேறு சாட்சியங்கள் பூமியில் இருந்தாலும், அணுகுண்டு சோதனைகள் நடத்தப்பட்ட காலமே, மனிதன் இயற்கையின் மீது பெரிய அளவில் தாக்கத்தை ஏற்படுத்த தொடங்கிய நூற்றாண்டு என்கின்றனர் மானுடவியலாளர்கள்.

https://www.bbc.com/tamil/articles/clewvezdpyzo

  • கருத்துக்கள உறவுகள்

சிலரின் ஆதிக்க மேலன்மைக்கு மொத்த உயிரினமும் கொடுக்கும் விலை😪

  • கருத்துக்கள உறவுகள்

அணுகுண்டு தரும் தீமையை விட அது தவிர்த்த தீமை அதிகம்.

  • கருத்துக்கள உறவுகள்
1 hour ago, goshan_che said:

அணுகுண்டு தரும் தீமையை விட அது தவிர்த்த தீமை அதிகம்.

கொஞ்சம் விளக்கமா??

  • கருத்துக்கள உறவுகள்
17 minutes ago, விசுகு said:

கொஞ்சம் விளக்கமா??

இரெண்டாம் உலக யுத்தத்தின் முடிவின் பின்னர் அமெரிக்கா, ரஸ்யா, யூகே, பிரான்ஸ், சீனா, இந்தியா, பாகிஸ்தான் என நாடுகள் படிபடியாக அணு குண்டு வல்லமையை அடைந்தன.

ஒருவர் இன்னொருவர் மீது அணுகுண்டை பாவித்தால் மற்றையவரும் பாவிப்பார்கள் என்ற நிலை. Mutually Assured Destruction (MAD). இரு பகுதியிம் சுவடழிந்து போகும் நிலை.

இதை தவிர்க்க எல்லா அணு நாடுகளும், அதீத முனைப்பு காட்டுகிறன.

தமக்கிடையே ஒரு சின்ன மோதல் வந்தாலும் அது (escalate) விரைவுபட்டு, அணு மோதலில், MAD இல் கொண்டு போய் விட்டு விடும் என்பதால் பெரிய வல்லரசுகள் 2ம் உலக போரின் பின் நேரடி மோதலில் ஈடுபடவில்லை.

உண்மையில் உலக வரலாற்றில் பெரும் சக்திகள் இப்படி நேரடியாக போரிடாமல் இவ்வளவுகாலம் இருப்பது அரிதிலும், அரிது.

அணுகுண்டு இல்லை எனில் பனிப்போர், நேரடி போராக இருந்திருக்கும். உக்ரேன் மோதலில் ஈயூ, யூகே, அமெரிக்கா நேரடியாக இறங்கி இருக்கும்.  இந்தியா, பாகிஸ்தான், சீனா எல்லை சண்டைகள் பல யுத்தங்களாக மாறி இருக்கும்.

இவற்றையும், இது போல பல வல்லரசுகள் மோதி கொள்ளும் போர்களையும் தவிர்த்து - அணு குண்டு - பல தீமைகளை தவிர்த்துள்ளது.

  • கருத்துக்கள உறவுகள்
29 minutes ago, goshan_che said:

இரெண்டாம் உலக யுத்தத்தின் முடிவின் பின்னர் அமெரிக்கா, ரஸ்யா, யூகே, பிரான்ஸ், சீனா, இந்தியா, பாகிஸ்தான் என நாடுகள் படிபடியாக அணு குண்டு வல்லமையை அடைந்தன.

ஒருவர் இன்னொருவர் மீது அணுகுண்டை பாவித்தால் மற்றையவரும் பாவிப்பார்கள் என்ற நிலை. Mutually Assured Destruction (MAD). இரு பகுதியிம் சுவடழிந்து போகும் நிலை.

இதை தவிர்க்க எல்லா அணு நாடுகளும், அதீத முனைப்பு காட்டுகிறன.

தமக்கிடையே ஒரு சின்ன மோதல் வந்தாலும் அது (escalate) விரைவுபட்டு, அணு மோதலில், MAD இல் கொண்டு போய் விட்டு விடும் என்பதால் பெரிய வல்லரசுகள் 2ம் உலக போரின் பின் நேரடி மோதலில் ஈடுபடவில்லை.

உண்மையில் உலக வரலாற்றில் பெரும் சக்திகள் இப்படி நேரடியாக போரிடாமல் இவ்வளவுகாலம் இருப்பது அரிதிலும், அரிது.

அணுகுண்டு இல்லை எனில் பனிப்போர், நேரடி போராக இருந்திருக்கும். உக்ரேன் மோதலில் ஈயூ, யூகே, அமெரிக்கா நேரடியாக இறங்கி இருக்கும்.  இந்தியா, பாகிஸ்தான், சீனா எல்லை சண்டைகள் பல யுத்தங்களாக மாறி இருக்கும்.

இவற்றையும், இது போல பல வல்லரசுகள் மோதி கொள்ளும் போர்களையும் தவிர்த்து - அணு குண்டு - பல தீமைகளை தவிர்த்துள்ளது.

உண்மை தான்

அதேநேரம் ரசியா படம் காட்டி வெருட்டி இன்றைக்கு அமுக்க முடியாது என்று தெரிந்து கொண்டு படும் அவஸ்தை இருக்கே? ☹️

  • கருத்துக்கள உறவுகள்

கட்டுரை சிலரால் தவறாகப் புரிந்து கொள்ளப் பட்டிருக்கிறது.

காபன் 14 இனால் மனிதர்களின் ஆரோக்கியம் பாதிக்கப் பட்டதாகக் குறிப்பிடப் படவில்லை. அணுவாயுத பரிசோதனைக் காலத்தில் படிந்த காபன் 14 இனை வைத்து காலக் கணிப்பை எப்படிப் பயன்படுத்துவது என்று மட்டும் தான் கட்டுரை பேசுகிறது. ஆரோக்கியம் பாதிக்கப் படாமைக்குக்  காரணம் காபன் 14 இன் செறிவு சூழலில் மிகவும் குறைவு.

காபன் 14 இனை விட, பாறைகள், மண்ணில் இயற்கையாகவே இருக்கும் றேடான் (Radon) வாயுவின் கதிர் வீச்சினால் அதிகம் பேர் புற்று நோய்ப்பாதிப்பிற்குள்ளாகின்றனர்.

  • கருத்துக்கள உறவுகள்
8 hours ago, Justin said:

கட்டுரை சிலரால் தவறாகப் புரிந்து கொள்ளப் பட்டிருக்கிறது.

காபன் 14 இனால் மனிதர்களின் ஆரோக்கியம் பாதிக்கப் பட்டதாகக் குறிப்பிடப் படவில்லை. அணுவாயுத பரிசோதனைக் காலத்தில் படிந்த காபன் 14 இனை வைத்து காலக் கணிப்பை எப்படிப் பயன்படுத்துவது என்று மட்டும் தான் கட்டுரை பேசுகிறது. ஆரோக்கியம் பாதிக்கப் படாமைக்குக்  காரணம் காபன் 14 இன் செறிவு சூழலில் மிகவும் குறைவு.

காபன் 14 இனை விட, பாறைகள், மண்ணில் இயற்கையாகவே இருக்கும் றேடான் (Radon) வாயுவின் கதிர் வீச்சினால் அதிகம் பேர் புற்று நோய்ப்பாதிப்பிற்குள்ளாகின்றனர்.

நானும் இதைத்தான் நினைத்தேன். கட்டுரை அணு குண்டு துகள்கள் உங்கள் உடலில் என சென்சேசனலாக தொடங்கி, அது காபன் டேட்டிங்கில் உதவுகிறது, உடல் பருமனில் பாதிப்பு செலுத்தலாம் என முடிகிறது.

இதில் தலையங்கம் வேறு “அமேரிக்க வெடித்த” - அப்போ மிச்சம் நாடுகள் வெடித்த குண்டுகளின் எச்சம் மட்டும் மனித உடலில் சேராது?🤣

பிற்சேர்க்கை

ஆங்கில கட்டுரை மூலம் இங்கே. இதில் தலையங்கத்தில் அமெரிக்கா என்ற சொல்லே இல்லை.

எப்படி பிபிசி க்குள் றோ மாமாக்கள் பூந்து விளையாடுகிறார்கள் பாருங்கள்🤣.

https://www.bbc.com/future/article/20230808-atomic-bomb-spike-carbon-radioactive-body-anthropocene

 

The atomic bomb marker inside your body

தமிழில்

அமெரிக்கா வெடித்த அணுகுண்டின் அடையாளம் உங்கள் உடலுக்குள் நுழைந்தது எப்படி?

என்றாகியுள்ளது 🤣.

  • கருத்துக்கள உறவுகள்
15 hours ago, goshan_che said:

நானும் இதைத்தான் நினைத்தேன். கட்டுரை அணு குண்டு துகள்கள் உங்கள் உடலில் என சென்சேசனலாக தொடங்கி, அது காபன் டேட்டிங்கில் உதவுகிறது, உடல் பருமனில் பாதிப்பு செலுத்தலாம் என முடிகிறது.

இதில் தலையங்கம் வேறு “அமேரிக்க வெடித்த” - அப்போ மிச்சம் நாடுகள் வெடித்த குண்டுகளின் எச்சம் மட்டும் மனித உடலில் சேராது?🤣

பிற்சேர்க்கை

ஆங்கில கட்டுரை மூலம் இங்கே. இதில் தலையங்கத்தில் அமெரிக்கா என்ற சொல்லே இல்லை.

எப்படி பிபிசி க்குள் றோ மாமாக்கள் பூந்து விளையாடுகிறார்கள் பாருங்கள்🤣.

https://www.bbc.com/future/article/20230808-atomic-bomb-spike-carbon-radioactive-body-anthropocene

 

The atomic bomb marker inside your body

தமிழில்

அமெரிக்கா வெடித்த அணுகுண்டின் அடையாளம் உங்கள் உடலுக்குள் நுழைந்தது எப்படி?

என்றாகியுள்ளது 🤣.

ஓம், பி.பி.சி சுவாமிநாதன் போன்றோர் விட்டுச் சென்ற சுவடுகளாக இருக்கும்! 😂

Archived

This topic is now archived and is closed to further replies.

Important Information

By using this site, you agree to our Terms of Use.

Account

Navigation

Search

Search

Configure browser push notifications

Chrome (Android)
  1. Tap the lock icon next to the address bar.
  2. Tap Permissions → Notifications.
  3. Adjust your preference.
Chrome (Desktop)
  1. Click the padlock icon in the address bar.
  2. Select Site settings.
  3. Find Notifications and adjust your preference.